Trykk her for å forstørre

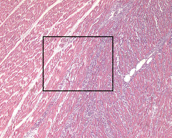
Definer et infarkt og beskriv de mikroskopiske funnene til et iskemisk hjerteinfarkt som skjer over tid..