UiO - nettsider
UiO - personer
BIBSYS - forfatter
BIBSYS - tittel
WWW - Google
Hovedside
2. semester
3. semester
4. semester
5. semester
Hjerte
Normalt hjerte
Atherosklerose
Ferskt hjerteinfarkt
Hjerteinfarkt, varierende alder
Kardiomyopati
Myocarditt
Lunge
Nyre
6. semester
7. semester
9. semester
Alle snitt
5. semester
>>
Hjerte
>>
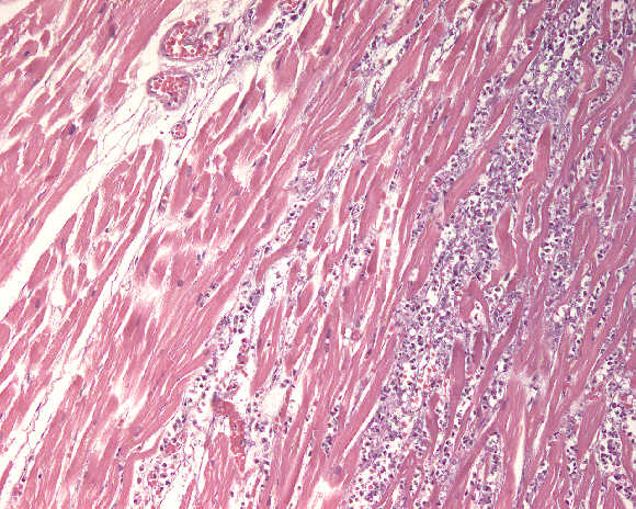
Ferskt hjerteinfarkt
Hva slags komplikasjoner kan oppstå tidlig etter gjennomgått hjerteinfarkt?
Hva ser du på bildet?