Trykk her for å forstørre

Komplikasjoner:

Arytmier, ruptur av ventrikkelveggen med hjertetamponade, ruptur av papillemuskler, septumruptur med utvikling av kardiogent sjokk,  emboli til hjernen.

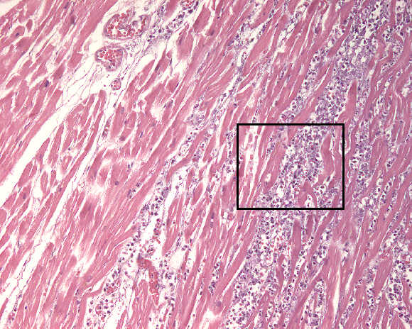
Bildet viser koagulasjonsnekrose med tap av tverrstripning og cellekjerner. Granulocyttinfiltrasjon. Ødem.