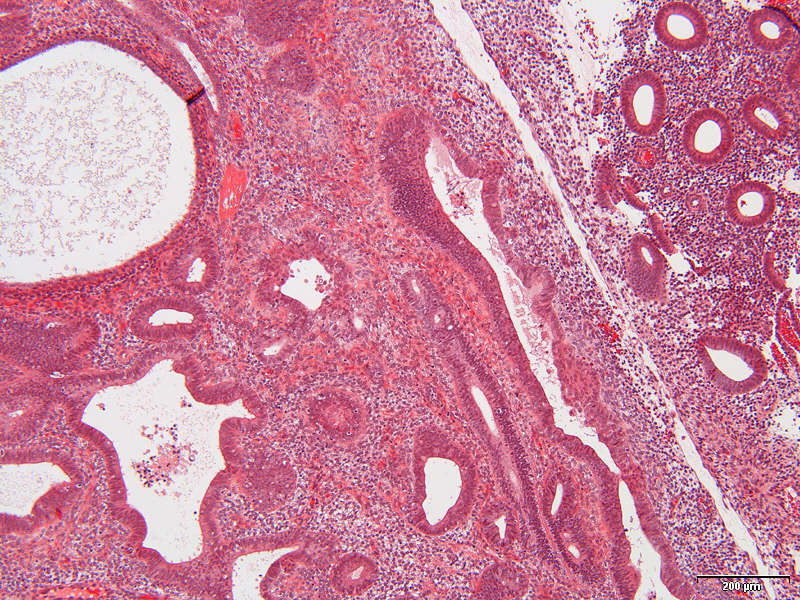
Question 1: What is the diagnosis?

Question 2: What other disorders can cause these kind of changes to the endometrium?