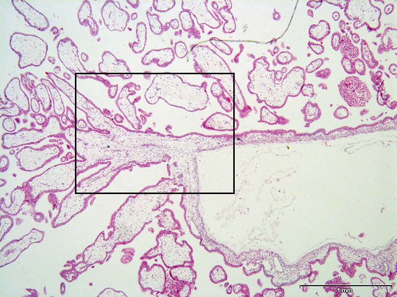
The chorionic plate lining the cavity is better seen, and you can see that the villi are arising from this plate.